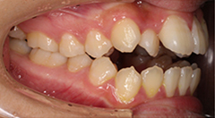
症例6:前歯部開咬の治療
主訴:前歯で噛めるようにしたい(開咬)
症例画像治療前
症例画像治療後
治療内容
| 患者データ | 20代/女性/会社員 |
|---|---|
| 診断名/主な症状 | 前歯部開咬 |
| 治療に用いた主な装置 | ワイヤー矯正(マルチブラケット装置) |
| 抜歯部位 | 上下顎両側4番(4本抜歯) |
| 治療のポイント | 開咬を治すときにむやみに前歯を伸ばしてしまうと骨がついてこれず歯肉退縮を引き起こすことがありますが、バランスよく奥歯の位置、前歯の位置、下顎の位置を調整することで歯ぐきの退縮を起こさず前歯を接触させることができました。 |
| リスクと副作用 | 治療上のリスクとして歯根吸収、歯肉退縮、むし歯、歯肉炎、口腔粘膜の傷、歯の骨性癒着、顎関節症があります。 |
治療データ
| 治療期間 | 2年0ヶ月 |
|---|---|
| 来院回数 | 23回 |
| 治療費用(総額) | 880,000円 |